Ciroza jeter


Bolezenska sprememba jeter

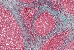
Jetrna ciroza (tudi zgrbančenje jeter) je bolezenska sprememba jeter, s spremembo zgradbe in razporeditve tkiva, propadanjem jetrnih celic (hepatocitov), fibrozo, regeneracijo in motnjo funkcije.

Do cirotičnih bolezenskih sprememb pride zaradi dolgo časa obstoječe jetrne poškodbe. Običajno se bolezen razvija počasi v roku več let.

V začetku načeloma bolnik ne izkuša nikakršnih simptomov, ko pa bolezen napreduje, se lahko pojavijo utrujenost, splošna oslabljenost, srbež, otekline spodnjih okončin, zlatenica, nagnjenost h krvavitvam, trebušna vodenica ter pajkaste žile na koži. Tekočina, ki se nabira v trebušni votlini, se lahko okuži.

Drugi zapleti so med drugim še jetrna encefalopatija, krvavitev iz požiralnikovih varic ter jetrnocelični rak. Jetrna encefalopatija vodi v zmedenost in lahko povzroči nezavest.

Cirozo jeter pogosto povzročijo alkoholizem, hepatitis B, hepatitis C in nealkoholna maščobna bolezen jeter. Načeloma je pri alkoholizmu potrebno vsakodnevno zaužitje dveh do treh enot alkoholnih pijač v trajanju več let, da se razvije ciroza.

Nealkoholno maščobno bolezen jeter povzročajo različna bolezenska stanja, kot so debelost, sladkorna bolezen, hiperlipidemija (zvišane vrednosti maščob v krvi) in povišan krvni tlak. Redkeje jetrno cirozo povzročajo avtoimuni hepatitis, primarna biliarna ciroza, hemokromatoza, uživanje nekaterih zdravil ali žolčni kamni.

Za cirozo je značilno nadomeščanje normalnega jetrnega tkiva z zabrazgotinjenim (fibroznim) tkivom. Te spremembe zmanjšajo jetrno funkcijo. Diagnoza temelji na krvnih testih, pregledom in jetrni biopsiji.

https://sl.wikipedia.org/wiki/Ciroza_jeter



Najdeno še 24 podobnih reultatov ...
Ciroza jeter
Ambient Sleeping Pill
AMBIENT AND LOUNGE
Ambient - a.m. ambient
Ambient - 3music harmony
Chill - Healing Music Radio
Dance - FeeverMix
100 GREATEST OF THE 80'S
Hirschmilch Chillout
DiscoParty.pl - Disco Polo
80s Forever - We Keep The 80s
Radio Stad Den Haag
Ambient Modern
100 GREATEST OF THE 80'S
DIMENSIONE RELAX
80's - RDMIX ITALO DISCO
80's - Fantasy Italo Radio
80's - Philly's Jammin
Techno - Hirschmilch Electronic
Techno - Hirschmilch Techno

POVEZAVE Iskani rezultati za Ciroza jeter ...

Najdeno 17 povezav za besedo "Ciroza jeter" ...
Ciroza jeter ... (EUSEARCH SLO) Ciroza jeter (Bolezenska sprememba jeter) | Wiki ... ...
/EU-Search-novice/?L=links.slovar&article=30049 ...
Jetrna ciroza (tudi zgrbančenje jeter) je bolezenska sprememba jeter, s spremembo zgradbe in razpor ... Ciroza jeter (Bolezenska sprem ... Podobno |



Ciroza jeter ... (EUSEARCH SLO) ZDRAV PLANET: ciroza jeter ...
http://zdravplanet.blogsp ot.si/search/label/ciroza %20jeter ...
... ZDRAV PLANET: ciroza jeter ... Podobno |
zdravplanet.blogspot.si


Ciroza jeter ... (EUSEARCH SLO) Ciroza jeter / 4812345 - (Grabovoj) ...
/grabovoi/?L=numbers.topic&id=32772 ...
4812345 ... Ciroza jeter / 4812345 - (Grab ... Podobno |



Ciroza jeter ... (EUSEARCH SLO) Rak jeter | Rak/Onkologija | VIVA.si ...
http://www.viva.si/Bolezn i/Rak-Onkologija/4429/Rak -jeter ...
Šesti najpogostejši rak na svetu, tretji najpogostejši vzrok umrljivosti zaradi raka. V Sloveniji ... Rak jeter | Rak/Onkologija | ... Podobno |
www.viva.si


Ciroza jeter ... (EUSEARCH SLO) Descargar All-Star Baseball 2003 feat. Derek Jeter Rom ...
http://www.emulanium.com/ espanol/gba/All_Star_Base ball_2003_feat_Derek_Jete ...
All_Star_Baseball_2003_feat_Derek_Jeter ... Descargar All-Star Baseball 20 ... Podobno |
www.emulanium.com


Ciroza jeter ... (EUSEARCH SLO) Descargar All-Star Baseball 2004 feat. Derek Jeter Rom ...
http://www.emulanium.com/ espanol/gba/All_Star_Base ball_2004_feat_Derek_Jete ...
All_Star_Baseball_2004_feat_Derek_Jeter ... Descargar All-Star Baseball 20 ... Podobno |
www.emulanium.com


Ciroza jeter ... (EUSEARCH SLO) Descargar All-Star Baseball 2004 featuring Derek Jeter Rom ...
http://www.emulanium.com/ espanol/gamecube/All_Star _Baseball_2004_featuring_ ...
All_Star_Baseball_2004_featuring_Derek_Jeter ... Descargar All-Star Baseball 20 ... Podobno |
www.emulanium.com


Ciroza jeter ... (EUSEARCH SLO) Descargar All-Star Baseball 2003 featuring Derek Jeter Rom ...
http://www.emulanium.com/ espanol/gamecube/All_Star _Baseball_2003_featuring_ ...
All_Star_Baseball_2003_featuring_Derek_Jeter ... Descargar All-Star Baseball 20 ... Podobno |
www.emulanium.com


Ciroza jeter ... (EUSEARCH SLO) Bolezni jeter in žolčnika ...
http://www.bolezen.si/bolezni/bolezni-jeter ...
... Bolezni jeter in žolčnika ... Podobno |
www.bolezen.si


Ciroza jeter ... (EUSEARCH SLO) Vem kaj jem: Presenetljivo čiščenje jeter z rozinami ...
http://www.vemkajjem.si/default.asp?opt=1&id=5452 ...
Zdrava jetra pomenijo zdravo telo, zato je občasen postopek čiščenja in razstrup ... Vem kaj jem: Presenetljivo  ... Podobno |
www.vemkajjem.si




« Nazaj 1 2 Naprej »
 


povezave | slike | video | novice | Online radio | Objavi povezavo

Avtor 1998 - 2026 ©, Vse pravice rezervirane | Total obiskov od nastanka 1.1.2007 ...